Top.Mail.Ru
rnd@dia-m.ru 8 (800) 234-05-08
+7 (863) 303-55-00
Ваш регион Москва?

Вернуться назад

Панель антител Apoptosis Marker Antibody Duo (Bcl2, Bax), Arigobio, Китай

Артикул Цена, руб. Наличие на складе Количество
ARG30268.1pair 80 751 Под заказ

Описание

Оплата и доставка

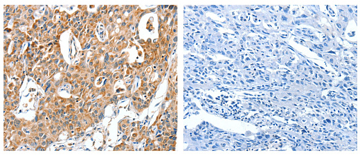
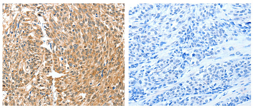
Соотношение экспрессии BAX/BCL2 является важным показателем для выяснения судьбы клеток, подвергающихся апоптозу в различных исследованиях, включая изучение рака, поиск терапевтических агентов и оценку терапевтического ответа. Данная панель используется в качестве маркера апоптоза.

Характеристики панели антител Apoptosis Marker Antibody Duo (Bcl2, Bax)

  • Компоненты панели антител – антитела anti-Bax antibody кроличьи, поликлональные (50 мкл), антитела anti-Bcl 2 antibody кроличьи, поликлональные (50 мкл);
  • условия транспортировки, °C – +2-8;
  • условия хранения, °C – - 20 (в виде аликвот).

Публикации

Данная панель антител использована в следующих статьях:

1. Orlistat Resensitizes Sorafenib-Resistance in Hepatocellular Carcinoma Cells through Modulating Metabolism

ARG55188:WB / Human

Pei-Wei Shueng et al.
International Journal of Molecular Sciences, (2022)

2. Naringin Interferes Doxorubicin-Induced Myocardial Injury by Promoting the Expression of ECHS1

ARG55188: WB / Rat

Zirui Zhao et al.
Front Pharmacol., (2022)

3. Preclinical Therapeutic Assessment of a New Chemotherapeutics [Dichloro(4,4'-Bis(2,2,3,3-Tetrafluoropropoxy) Methyl)-2,2'-Bipryridine) Platinum] in an Orthotopic Patient-Derived Xenograft Model of Triple-Negative Breast Cancers

ARG55188, ARG65612: WB / Human

Tzu-Chun Kan et al.
Pharmaceutics., (2022)

4. Kansuinine A Ameliorates Atherosclerosis and Human Aortic Endothelial Cell Apoptosis by Inhibiting Reactive Oxygen Species Production and Suppressing IKKβ/IκBα/NF-κB Signaling

ARG65612: WB / Human

Chen-Sheng Chen et al.
Int J Mol Sci., (2021)

5. Circ_0081572 inhibits the progression of periodontitis through regulating the miR-378h/RORA axis.

ARG55188: WB / Human

Jing Wang et al.
Arch Oral Biol., (2021)

6. Dapagliflozin Improves Cardiac Hemodynamics and Mitigates Arrhythmogenesis in Mitral Regurgitation-Induced Myocardial Dysfunction.

ARG55188: WB / Rat

Yu-Wen Lin et al.
J Am Heart Assoc., (2021)

7. Xenogeneic and Allogeneic Mesenchymal Stem Cells Effectively Protect the Lung Against Ischemia-reperfusion Injury Through Downregulating the Inflammatory, Oxidative Stress, and Autophagic Signaling Pathways in Rat.

ARG55188: WB / Human

Kun-Chen Lin et al.
Cell Transplant., (2020)

8. Multi-omics analysis of pathological changes in the amygdala of rats subjected to chronic restraint stress.

ARG65612: WB / Rat

Zhonghua Li et al.
Behav Brain Res., (2020)

9. Possible Involvement of PTEN Signaling Pathway in the Anti-apoptotic Effect of Electroacupuncture Following Ischemic Stroke in Rats

ARG55188: WB / Rat

Xing Ying et al.
Cell Mol Neurobiol., (2018)

10. Electroacupuncture Alleviated Neuronal Apoptosis Following Ischemic Stroke in Rats via Midkine and ERK/JNK/p38 Signaling Pathway.

ARG55188: WB / Rat

Xing Ying et al.
J Mol Neurosci., (2018)

11. A LY-15, a novel cyclic pentapeptide that inhibits B16 cell proliferation and migration and induces cell apoptosis.

ARG55188, ARG65612: WB / Mouse

Wang Xuan et al.
Oncology Letters., (2018)

Раскрыть описание

Доставка

Доставка осуществляется по всей России и странам СНГ. Возможен самовывоз со склада по адресу Московская область, г. Мытищи, 7-й Ленинский переулок, д.13. Доставка по Москве и Московской области осуществляется бесплатно.

Цена товара указана со склада в Москве и не включает расходы на доставку в другие города.

Вы можете выбрать способ доставки в личном кабинете, чтобы он автоматически указывался при оформлении всех последующих заказов. При выборе варианта «Транспортная компания по выбору клиента» укажите в комментариях транспортную компанию, с которой вы предпочитаете работать.

Точная стоимость доставки рассчитывается менеджером при подтверждении заказа в зависимости от весообъемных характеристик и дальности. Товары, требующие особого температурного режима, доставляются с соблюдением требуемых условий. Если в заказе есть прекурсоры, необходимо оформить официальное письмо об отпуске прекурсоров. (образец письма об отпуске прекурсоров)


Оплата

Компания Диаэм работает с юридическими и физическими лицами. После оформления заказа продавец-консультант сформирует счет и направит его вам по электронной почте и на страницу заказа в Личном кабинете на сайте. Вы также можете сами сформировать счет из Корзины, авторизовавшись на сайте. Счет оплачивается через банк. Вы можете оплатить товар в кассе Диаэм или любом отделении банка.

Для получения товара необходимо предоставление доверенности организации, а для получения товара при оплате физическим лицом необходим паспорт.

Раскрыть анкету для отправки запроса

Ваш заказ будет обработан
в ближайшее время.
Мы пришлем уведомление, как только все будет готово. Спасибо!